肺結節影とは
〇肺結節影の定義
CTで肺内にみられる陰影の大きさにより、以下のように分類されます。
・5mm未満のもの→粒状影(一般に単一の陰影ではなく複数の陰影を示唆することが多い)
・5-30mmのもの→結節影
・30mm以上のもの→腫瘤影
このうち、腫瘤影は肺癌である可能性が極めて高いため、最初から肺癌を念頭に気管支鏡などの精査を行います。
粒状影については分布によりリンパ管周囲性分布、ランダム分布、小葉中心性に分類し鑑別を進めていくことになります。
残った結節影ですが、これが日常診療上、最も扱いが厄介です。確定診断をつけるには小さ過ぎますし、フォローするにもどのくらいの間隔で、いつまで続けるべきなのか悩まされることが多いです。今回は、この結節影についてどのようにフォローを行うべきなのかまとめていきたいと思います。
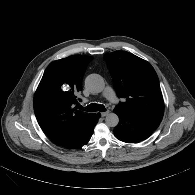
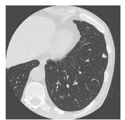
〇肺結節影の分類
肺結節影は形態学的にsolid nodule(充実結節)とsubsolid nodule(部分充実結節)に分類されます。さらにsubsolid noduleはpure ground-glass nodule(pure GGN:いわゆるスリガラス影)とpart-solid nodule(狭義の部分充実結節)に細分化されます。
以下、それぞれのCT画像を示します。
・solid nodule(充実結節)

・pure ground-glass nodule(pure GGN:いわゆるスリガラス影)

・part-solid nodule(狭義の部分充実結節)

結節影の鑑別
〇悪性疾患
・原発性肺癌
いわずもがな悪性疾患の中で最も多い疾患です。腺癌、扁平上皮癌が多いです。
・転移性肺癌
肺転移を起こしやすい悪性腫瘍として、悪性黒色腫、肉腫、大腸癌、乳癌、腎臓癌、精巣癌などが挙げられます。もちろんのこと、ほとんどはすでに他の悪性腫瘍の診断を受けている患者に発生するため、偶発的に発見された肺結節として見つかることは稀です。
・カルチノイド腫瘍
通常気管支内に発生することがほとんどですが、約20%が肺結節として発生します。
〇良性疾患
・感染
良性結節の80%が感染性とされます。主に肉芽腫を形成するような病原体が肺結節影を形成することが多く、抗酸菌やクリプトコッカス、ヒストプラズマやコクシジオイデスなどが原因となります。古典的には境界が明確で石灰化を伴っていることが多いとされますが、画像のみで悪性腫瘍と鑑別することは困難です。
・良性腫瘍
肺過誤腫は良性の肺結節影うち、10%ほどを占め、感染性結節に次ぐ頻度です。軟骨、脂肪、筋肉など様々な組織を含んでおり、画像上不均一な濃度でポップコーン様の石灰化を伴うことが多いとされます。中年期に出現し、何年にもわたってゆっくりと成長していきます。

その他、線維腫、平滑筋腫、血管腫なども原因となり得ます。
・血管
肺動静脈奇形が肺結節として表現されることがあります。流入動脈と流出静脈が索状影として認めることがあり、生検は大出血をきたすため禁忌です。
・肺内リンパ節
肺内リンパ節がCT上肺結節影として認識されることがあります。中葉や下葉の胸膜直下や葉間に接して存在し、小葉間隔壁に接するため多角形であることが多く、胸膜直下に存在する場合、胸膜との間にしばしば小葉間隔壁の線状構造を認めることが多いです。up to dateではあまりclose upされていませんでしたが、実臨床ではかなり頻度が高い印象です。

悪性リスクの評価方法
肺結節影のリスク評価には様々なモデルがありますが、ここではBlock modelを紹介させて頂きます。これはカナダでの肺癌スクリーニング研究で得られたデータをもとに作成され、ブリティッシュコロンビア州癌庁のデータを使用して検証されたものになります。以下リンクです。
https://brocku.ca/lung-cancer-screening-and-risk-prediction/risk-calculators/
このモデルでは年齢、性別、肺癌の家族歴、肺気腫の有無、結節のサイズ、結節の種類、結節影の位置(上肺か否か)、結節の数、spiculationの有無といった項目で肺癌のリスクを算出するものです。陰性的中率は99%であり、悪性の除外には利用することができるかもしれません。ただ、カナダでのデータを元に作られたものですから、日本でそのまま適応することは難しいでしょう。
フォローの方法
肺結節影のフォロー方法としては、日本CT検診学会が出しているガイドラインが参考になります。

このガイドラインでは、6mm以上の結節についてまず1か月後にフォローを行います。炎症性のものであれば消退あるいは縮小しているはずですので、この時点で判別がつきます。残存していた場合、充実性か部分充実性あるいはスリガラス影に場合分けし、大きさによってCTフォローを行うか確定診断を試みるか判断をしていきます。
ただし、10-15mmの結節影では気管支鏡による確定診断が困難である場合も多く、クリアカットに分類できるものではないことに注意が必要です。確定診断が困難である場合、1.5-3か月ごとに胸部CTを撮影し密にフォローアップを行うことも選択肢です。
一般的に2年程度フォローアップを行い経過観察を行いますが、病変が多発性の場合はさらにフォローアップを行うことも検討します。
6mm未満の場合、本邦のガイドラインでは12か月後のCTフォローを勧めることになっています。一方で、up to dateでは、肺結節影が6mm未満かつ肺癌の危険因子(家族歴、喫煙歴、粉じん暴露歴など)がない場合はフォロー不要となっています。このあたりの線引きは難しい所ですが、日本のCTへのアクセスの良さを考えますと6-12か月後に一度はフォローしておくのが無難なのではないでしょうか。
参考
・低線量CT による肺がん検診の肺結節の判定基準と経過観察の考え方 第5版
https://www.jscts.org/pdf/guideline/gls5th201710.pdf
・UpToDate:Diagnostic evaluation of the incidental pulmonary nodule
・2022 ポケット呼吸器診療 倉原 優 シーニュ